BLOG
Retenedores tras Ortodoncia Invisible: Clave para mantener tu sonrisa
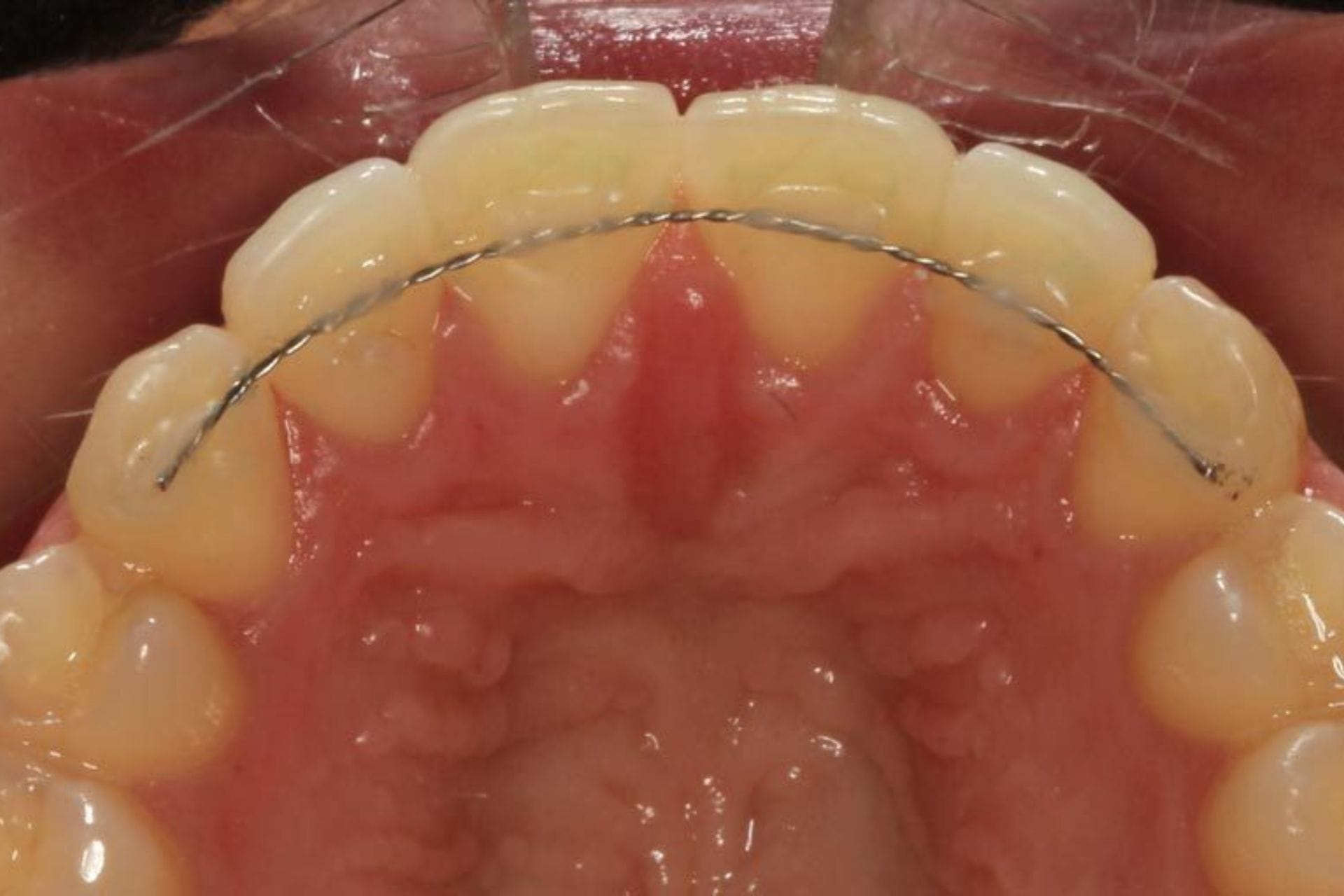
Finalizar un tratamiento de ortodoncia invisible es un gran logro, pero no significa que el proceso haya terminado por completo. Tras retirar los alineadores, los ...
Saber más →
Precio real de la Ortodoncia Invisible en 2026
La ortodoncia invisible se ha convertido en uno de los tratamientos más demandados en Zaragoza por su comodidad, estética y precisión. Sin embargo, una de ...
Saber más →
¿Cuánto dura un tratamiento de ortodoncia invisible y de qué depende?
La duración de un tratamiento de ortodoncia invisible varía según las necesidades de cada paciente, pero suele situarse entre 18 y 24 meses. En la mayoría ...
Saber más →
Tratamiento bruxismo en Zaragoza: cómo dejar de apretar los dientes
El bruxismo es uno de los trastornos dentales más comunes y silenciosos. Muchas personas lo padecen sin saberlo, hasta que empiezan a notar dolor mandibular, ...
Saber más →
¿Te falta un diente? Descubre las causas y tratamientos para la pérdida dental
La pérdida de uno o varios dientes puede parecer un problema exclusivamente estético, pero en realidad afecta a muchas más áreas de tu salud bucodental ...
Saber más →
¿Cómo saber si tengo que quitarme las muelas del juicio? 6 claves para saberlo
Las muelas del juicio, también conocidas como terceros molares, son las últimas piezas dentales en aparecer, normalmente entre los 17 y los 25 años. Aunque ...
Saber más →





