Finalizar un tratamiento de ortodoncia invisible es un gran logro, pero no significa que el proceso haya terminado por completo. Tras retirar los alineadores, los dientes necesitan un periodo de estabilización para mantener la nueva posición conseguida. En este punto entran en juego los retenedores, una fase esencial para consolidar los resultados y evitar retrocesos.
En nuestra experiencia clínica en Zaragoza, muchos pacientes desconocen la importancia real de esta etapa y los problemas que puede generar no seguirla correctamente. Por eso, entender qué son los retenedores, cuánto tiempo deben usarse y qué tipo es el más adecuado es clave para conservar una sonrisa alineada a largo plazo.
¿Qué son los retenedores tras la ortodoncia invisible?
Los retenedores son dispositivos diseñados para mantener los dientes en la posición alcanzada tras finalizar un tratamiento de ortodoncia invisible. A diferencia de los alineadores, que ejercen fuerza para mover los dientes, los retenedores tienen una función pasiva: evitar que vuelvan a desplazarse.
Tras cualquier tratamiento de ortodoncia, los tejidos que rodean al diente (hueso y encía) necesitan tiempo para adaptarse a la nueva posición. Durante este periodo, los dientes tienen tendencia natural a moverse.
El uso de retenedores controla este proceso y garantiza la estabilidad del resultado. Son una parte fundamental del tratamiento, no una opción. Prescindir de ellos puede comprometer todo el trabajo previo realizado con los alineadores.

¿Por qué es imprescindible usar retenedores después de la ortodoncia invisible?
El uso de retenedores tras la ortodoncia invisible no es una recomendación opcional, sino una necesidad clínica. Los dientes tienen memoria y, una vez retirados los alineadores, pueden intentar volver a su posición inicial.
Los retenedores permiten que el hueso se reorganice alrededor de las raíces dentales, consolidando el resultado. Además, ayudan a mantener una mordida equilibrada y previenen tensiones innecesarias en la articulación mandibular. En pacientes adultos, este proceso de estabilización es aún más importante. Usar retenedores de forma correcta evita recaídas, retratamientos y costes adicionales a largo plazo.
Beneficios de los retenedores para la salud y la estética
El principal beneficio de los retenedores es mantener una sonrisa alineada y estable en el tiempo. A nivel estético, evitan que aparezcan pequeños apiñamientos o separaciones visibles. Desde el punto de vista funcional, contribuyen a una correcta mordida y reducen el desgaste dental irregular. También ayudan a mantener la salud de las encías, ya que los dientes bien alineados facilitan una higiene oral más eficaz.
¿Qué pasa si no uso retenedores después del tratamiento?
No utilizar retenedores tras la ortodoncia invisible puede tener consecuencias importantes a corto y medio plazo. En muchos casos, los dientes comienzan a moverse de forma gradual, perdiendo parte del alineamiento conseguido. Este cambio puede ser sutil al principio, pero progresivo con el tiempo.
Además del impacto estético, una mala posición dental puede afectar a la mordida y generar sobrecargas en determinados dientes. En algunos pacientes, la única solución termina siendo repetir parte del tratamiento.
Por eso, insistimos en que los retenedores forman parte del tratamiento, no son un complemento prescindible.
Tipos de retenedores tras la ortodoncia invisible
Existen distintos tipos de retenedores y la elección depende de cada caso clínico. Los más habituales son los retenedores fijos y los removibles. Ambos cumplen la misma función, pero con características y cuidados diferentes. En muchos tratamientos se combinan ambos sistemas para ofrecer mayor seguridad. La decisión se toma en función del tipo de maloclusión inicial, la edad del paciente y su estilo de vida.
Un correcto asesoramiento profesional es clave para elegir la mejor opción tras un tratamiento de ortodoncia invisible.
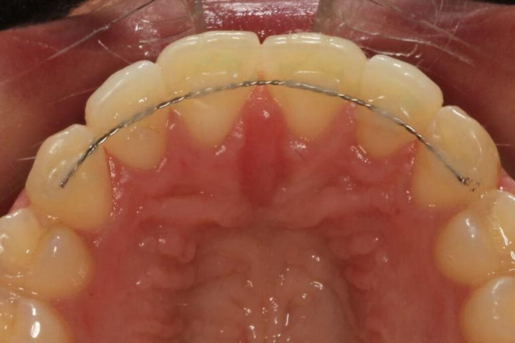
Retenedor fijo: qué es, ventajas y cuidados
El retenedor fijo consiste en un fino alambre adherido a la cara interna de los dientes, normalmente en la arcada inferior.
Su principal ventaja es que actúa de forma continua sin depender de la constancia del paciente. Es muy eficaz para evitar recidivas en dientes con alta tendencia al movimiento.
Requiere una higiene cuidadosa y revisiones periódicas para comprobar su estado.
Bien mantenido, puede durar muchos años sin problemas.
Retenedor removible: tipos y mantenimiento
El retenedor removible suele tener forma de férula transparente similar a un alineador. Se coloca principalmente por la noche y se retira para comer. Es cómodo, discreto y fácil de limpiar.
Sin embargo, su eficacia depende del uso constante. Es importante seguir las indicaciones del especialista para evitar deformaciones o pérdidas.
¿Qué retenedor recomendamos según cada caso clínico?
No existe un retenedor universal válido para todos los pacientes. La elección siempre debe basarse en un estudio personalizado y en el seguimiento profesional.
¿Cuánto tiempo hay que llevar los retenedores después de la ortodoncia invisible?
Una de las preguntas más frecuentes es cuánto tiempo deben usarse los retenedores tras finalizar el tratamiento. La respuesta no es única y depende de varios factores.
En general, se recomienda un uso continuo los primeros meses y posteriormente un uso nocturno prolongado. Hoy en día, la tendencia clínica es mantener algún tipo de retención a largo plazo. Esto garantiza la estabilidad del resultado y evita sorpresas con el paso de los años.
El tiempo de uso se adapta a cada paciente y se revisa en las consultas de seguimiento.
Recomendaciones actuales según la evidencia clínica
La evidencia actual indica que la retención debe mantenerse de forma indefinida. Los dientes pueden moverse a cualquier edad, incluso años después del tratamiento. Por eso, muchos especialistas recomendamos el uso prolongado del retenedor como medida preventiva. Esta recomendación es coherente independientemente de cuánto dura un tratamiento de ortodoncia invisible, ya que la fase de retención es siempre esencial.
Proceso de colocación y adaptación a los retenedores
La colocación de los retenedores es un proceso sencillo que se realiza al finalizar la ortodoncia invisible. En el caso de los retenedores fijos, se adhieren en la misma consulta. Los removibles se entregan ajustados a la nueva posición dental. Los primeros días pueden aparecer sensaciones nuevas, pero suelen ser leves y transitorias. Un buen seguimiento profesional ayuda a resolver cualquier duda y asegurar una correcta adaptación desde el inicio.
Señales de alerta para acudir a tu dentista en Zaragoza
Dolor persistente, movilidad dental o rotura del retenedor son señales de alerta. También si el retenedor deja de ajustar correctamente. Ante cualquiera de estos signos, es importante acudir a revisión cuanto antes. Un ajuste precoz evita problemas mayores.
Importancia del seguimiento profesional tras la ortodoncia invisible en Zaragoza
El seguimiento tras la ortodoncia invisible es tan importante como el propio tratamiento. Revisar el estado de los retenedores, valorar la estabilidad de la mordida y resolver dudas garantiza resultados duraderos.
Un control profesional periódico es la mejor forma de proteger tu sonrisa a largo plazo y mantener los resultados obtenidos con la ortodoncia invisible.
En Clínica Dental Márquez somo especialistas en Ortodoncia Invisible
El precio de la ortodoncia invisible depende de muchos factores, pero con un diagnóstico preciso, constancia y la supervisión de un ortodoncista experto, los resultados pueden ser más rápidos de lo que esperas.
En Clínica Dental Márquez, somos especialistas en ortodoncia invisible Spark y alineadores personalizados, con un enfoque médico, estético y digital.
